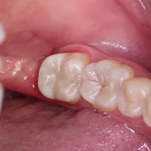
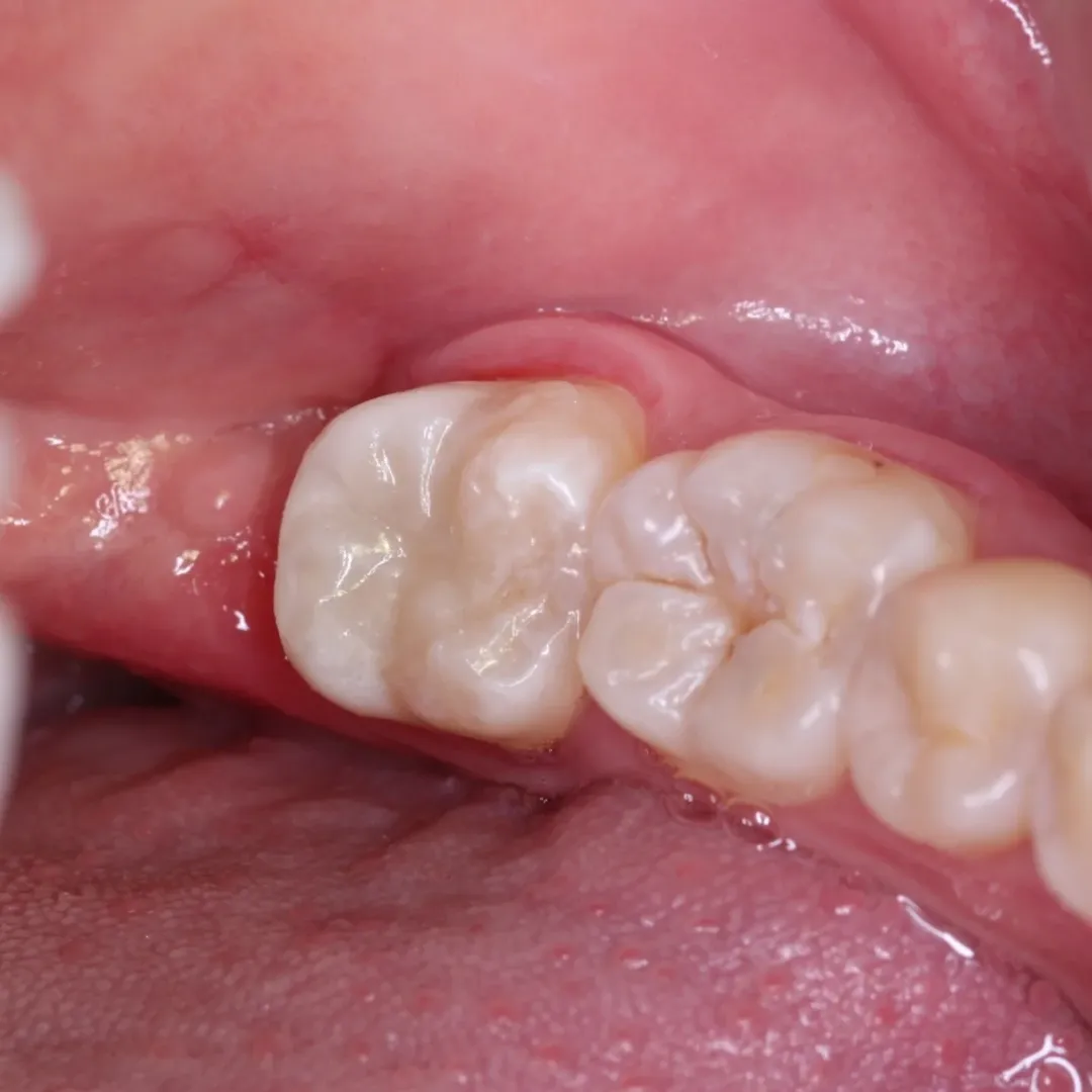
Mais uma restauração realizada com endodontia prévia

🛠️ Mais uma restauração realizada com sucesso!
🦷 Dente com endodontia prévia, recuperado com técnica e precisão.

Na Junqueira Odontologia, cada caso é tratado com atenção aos mínimos detalhes — principalmente quando o dente já passou por um tratamento de canal.

Selamento adequado
✅ Forma e função restabelecidas
✅ Estética preservada

Seu dente merece mais do que “conserto”.

Ele merece cuidado, ciência e durabilidade!!

 

 

 

 

#RestauraçãoDental #Endodontia #TratamentoDeCanal #OdontologiaEstética #DentistaEspecialista #DrGabrielJunqueira #JunqueiraOdontologia #SaúdeBucal #OdontoComExcelência