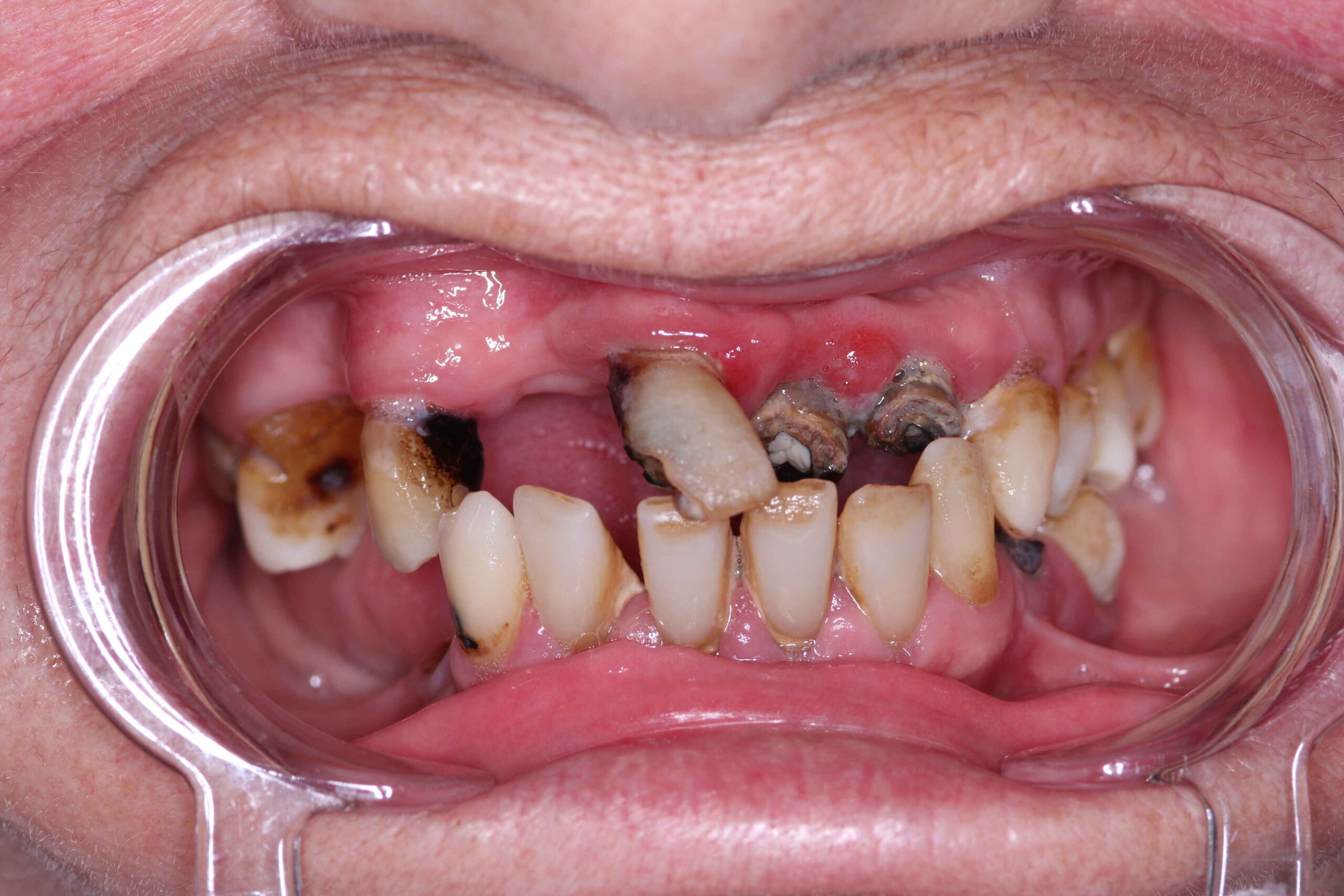
Paciente com problemas dentais Remoção total dos dentes + instalação de implantes

Paciente chegou ao consultório com diversos problemas dentários, comprometendo não apenas a estética do sorriso, mas também a função mastigatória e a qualidade de vida. 🦷

Foi realizado um tratamento completo:

🔹 Remoção total dos dentes comprometidos
🔹 Instalação de 8 implantes dentários (4 em cada arcada)
🔹 Confecção de 2 próteses fixas sobre implantes

 

✅ Resultado: um sorriso mais bonito, funcional e seguro, devolvendo à paciente a autoestima e a capacidade de mastigar com conforto.

 

Os implantes proporcionam estabilidade, naturalidade e durabilidade, trazendo mais confiança para sorrir e viver melhor.

 

Agende sua avaliação pelo WhatsApp:
(16) 99634-2384

#implantodontia #implantesdentarios #protesesobreimplante #reabilitacaooral #sorrisosaudavel #odontologia